08.09.2018 - 10:22 Σταδιακά εγκαταλείπουν τη Σίλικον Βάλεϊ Ξεθωριάζει η γοητεία της (πανάκριβης) Σίλικον Βάλεϊ και οι εταιρείες start-up την εγκαταλείπουν σταδιακά ΕΠΙΣΤΗΜΗ Σταδιακά εγκαταλείπουν τη Σίλικον Βάλεϊ
07.09.2018 - 14:58 Κι όμως! Υπάρχει και «χορτοφάγος» καρχαρίας! Τρώνε θαλάσσια χόρτα σε ποσοστό έως και 60% της συνολικής τροφής τους ΕΠΙΣΤΗΜΗ Κι όμως! Υπάρχει και «χορτοφάγος» καρχαρίας!
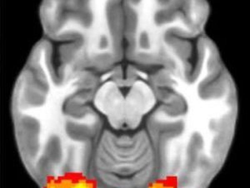
07.09.2018 - 08:57 Αυξημένος ο κίνδυνος Αλτσχάιμερ και άνοιας για τους άνδρες καπνιστές Υγεία ΕΠΙΣΤΗΜΗ Αυξημένος ο κίνδυνος Αλτσχάιμερ και άνοιας για τους άνδρες καπνιστές
07.09.2018 - 08:37 Συχνά άχρηστα και καμιά φορά επιβλαβή τα προβιοτικά ...ακόμη και μετά τα αντιβιοτικά, σύμφωνα με δύο νέες απομυθοποιητικές ισραηλινές έρευνες! ΕΠΙΣΤΗΜΗ Συχνά άχρηστα και καμιά φορά επιβλαβή τα προβιοτικά
06.09.2018 - 20:22 To αίνιγμα της Θήρας που βασανίζει τους επιστήμονες Πότε έγινε τελικά η έκρηξη ΕΠΙΣΤΗΜΗ To αίνιγμα της Θήρας που βασανίζει τους επιστήμονες
06.09.2018 - 10:18 «Φάρμακο» το περπάτημα για γυναίκες σε μέση και προχωρημένη ηλικία Μειώνει τον κίνδυνο καρδιακή ανεπάρκειας ΕΠΙΣΤΗΜΗ «Φάρμακο» το περπάτημα για γυναίκες σε μέση και προχωρημένη ηλικία
05.09.2018 - 07:53 Πάνω από το ένα τέταρτο των ενηλίκων δεν ασκούνται επαρκώς «Πρωταθλήτρια» των ανεπτυγμένων χωρών η Κύπρος, από κοντά και η Ελλάδα ΕΠΙΣΤΗΜΗ Πάνω από το ένα τέταρτο των ενηλίκων δεν ασκούνται επαρκώς
04.09.2018 - 12:32 Ευρήματα από την 3η χιλιετία π.Χ στην Κύθνο - Σπουδαία αρχαιλογική ανακάλυψη Σε Βρυόκαστρο και Βρυοκαστράκι ΕΠΙΣΤΗΜΗ Ευρήματα από την 3η χιλιετία π.Χ στην Κύθνο - Σπουδαία αρχαιλογική ανακάλυψη
04.09.2018 - 09:32 Δεν είναι μόνο η Ελλάδα που ζητά αποζημιώσεις - Η γενοκτονία στη Ναμίμπια από τους Γερμανούς αποίκους [video] Αρχές του 20ου αιώνα ΕΠΙΣΤΗΜΗ Δεν είναι μόνο η Ελλάδα που ζητά αποζημιώσεις - Η γενοκτονία στη Ναμίμπια από τους Γερμανούς αποίκους [video]
04.09.2018 - 07:26 Νέο φάρμακο για απώλεια βάρους. Αμφισβητείται η δίαιτα χαμηλή σε υδατάνθρακες Πανευρωπαϊκό συνέδριο Καρδιολογίας στο Μόναχο της Γερμανίας ΕΠΙΣΤΗΜΗ Νέο φάρμακο για απώλεια βάρους. Αμφισβητείται η δίαιτα χαμηλή σε υδατάνθρακες
03.09.2018 - 22:18 Αρχαία Ελλάδα: Πώς το παπούτσι «πρόδιδε» την κοινωνική τάξη/ιδιότητα του ιδιοκτήτη του Υποδήματα στην Αρχαία Ελλάδα ΕΠΙΣΤΗΜΗ Αρχαία Ελλάδα: Πώς το παπούτσι «πρόδιδε» την κοινωνική τάξη/ιδιότητα του ιδιοκτήτη του
03.09.2018 - 13:16 Κορδέλες ευαισθητοποίησης: Τι συμβολίζει το κάθε χρώμα Το γράφημα παρουσιάζει τις πιο αναγνωρίσιμες κορδέλες που το χρώμα τους έχει συνδεθεί με τον αγώνα ενάντια σε κάποια ασθένεια ΕΠΙΣΤΗΜΗ Κορδέλες ευαισθητοποίησης: Τι συμβολίζει το κάθε χρώμα